繁體
English
Browsing
ABOUT
關於我們
NEWS
最新消息
SHOP
線上購買
HEALTH
我要健康
SALES STORE
連鎖據點
PRODUCTS
產品介紹
MEDIA
媒體報導
Q&A
常見問題
CONTACT
聯絡我們
天然唾液酵素
因特力淨酵素牙膏,引進歐洲先進微生物科技,仿照口腔生態,乾刷兩分鐘,還原唾液抗菌力,從根本解決口腔問題,幫助恢復口腔健康。
減緩輕度口腔症狀
堅持使用天然萃取的食品級原料,安全無毒、不怕誤食,讓健康的唾液全面保護口腔與牙齒
切换至英文
- Copyright © 2016 All Rights Reserved.
HEALTH
- 我要健康
健康保健知識
- 2018/03/26
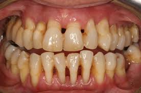
牙周病初期症狀?
牙齦易流血
牙齦紅、腫有觸痛感
牙齦有被從牙齒剝開的現象
牙齦受壓時,有膿從牙齒和牙齦之間流出
持續性的呼吸臭味或怪的味覺
牙齒鬆動或逐漸分離,有縫隙產生
當咬合時你的牙齒有任何的改變
活動假牙的適合度有任何改變